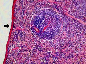
O baço não apresenta um córtex e uma medula. Em vez disso, o baço possui dois componentes principais com funções distintas: a polpa vermelha e a polpa branca. Externamente é revestido por uma cápsula constituída de tecido conjuntivo denso não modelado e células musculares lisas, a qual emite trabéculas que dividem o parênquima ou polpa esplênica em compartimentos incompletos. A polpa branca está representada pelos nódulos linfóides constituídos de linfócitos B, pela artéria central (também chamada arteríola central), encontrada no centro do nódulo linfóide e pela bainha periarterial, constituída de linfócitos T, que por sua vez, envolve a artéria central. A polpa vermelha contém uma rede interligada de sinusóides esplênicos revestidos por
células endoteliais alongadas. Cordões esplênicos, também chamados de cordões de Billroth, circundam os sinusóides esplênicos. Os cordões esplênicos contêm plasmócitos, macrófagos, e hemácias, todos sustentados por um estroma de células reticulares e fibras reticulares. Entre a polpa branca e a polpa vermelha existe uma zona mal delimitada, constituída pelos seios marginais contendo macrófagos, linfócitos e células dendríticas (apresentadoras de antígenos), embora não identificadas nesta lâmina.



