Laringe

A laringe é um tubo irregular que une a faringe à traqueia. Suas paredes são compostas por peças cartilaginosas irregulares, unidas entre si por tecido conjuntivo fibroelástico (que mantém a laringe sempre aberta). As maiores peças cartilaginosas (tireóide, cricóide) são formadas por cartilagem do tipo hialina (ricas em colágeno tipo II); as demais peças são cartilagens do tipo elástico (ricas em colágeno tipo II e fibras elásticas). A laringe não tem um revestimento epitelial uniforme ao longo da via. Na face ventral e parte da face dorsal da epiglote e nas cordas vocais, o epitélio está sujeito a atritos e desgastes por isso o revestimento desses locais é feito por um epitélio do tipo pavimentoso estratificado. Nas demais regiões, o epitélio de revestimento é do tipo respiratório. Este epitélio está sob uma lâmina própria rica em fibras elásticas e contém pequenas glândulas do tipo misto.

Corte de laringe em aumento de 4x, corado por Verhoeff. Em 1, observa-se o epitélio de revestimento pavimentoso estratificado, a seta aponta para a lâmina própria, em 2, observa-se o tecido adiposo e em 3, a cartilagem elástica.
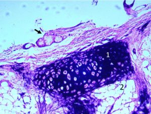
Corte de laringe em aumento de 10x, corado por Verhoeff. Em 1, observa-se a cartilagem elástica, a seta aponta para as glândulas mucosas e em 2, observa-se o tecido adiposo.

 

 

 

 

 

 

 

 

 

 

 

 

 

Corte de laringe em aumento de 40x, corado por Verhoeff. Em 1, observa-se o epitélio de revestimento pavimentoso estratificado e em 2, observa-se a lâmina própria

 

Corte de laringe em aumento de 40x, corado por Verhoeff. Os círculos indicam os condrócitos.

 

 

 

 

 

 

 

 

 

 

Corte de laringe em aumento de 40x, corado por Verhoeff. Os círculos indicam os condrócitos, as setas apontam para os condroblastos e o retângulo indica o pericôndrio.
Corte de laringe em aumento de 20x, corado por Verhoeff. Em 1, observa-se o epitélio de revestimento pavimentoso estratificado e as setas apontam para as glândulas mucosas.