A ossificação endocondral inicia-se sobre uma peça de cartilagem hialina do esqueleto que irá formar tecido ósseo. Esse tipo de ossificação é o responsável básico pela constituição dos ossos curtos e longos. Forma-se um centro primário no decorrer da ossificação endocondral. Esse centro de ossificação deriva de condrócitos que proliferaram e depositaram uma matriz extracelular contendo colágeno do tipo II.
Placas de crescimento ou Placa epifisária são estruturas compostas por cartilagem, osso e componentes fibrosos. Normalmente se apresentam nas extremidades dos ossos longos (ossificação endocondral).
Quando o tecido ósseo formado ocupa as epífises, o tecido cartilaginoso torna-se reduzido a dois locais: a cartilagem articular, que persistirá por toda a vida e não contribui para a formação de tecido ósseo, e a cartilagem de conjugação ou disco epifisário.
O disco epifisário é constituído por um disco cartilaginoso que não foi penetrado pelo osso em expansão e que será responsável, de agora em diante, pelo crescimento longitudinal do osso. Assim o disco fica entre o tecido ósseo das epífises e o da diáfise. Seu desaparecimento por ossificação determina a parada do crescimento longitudinal dos ossos, que ocorre com aproximadamente 20 anos de idade.
No disco epifisário, começando ao lado da epífise, distinguem-se as cinco zonas, são elas:
Zona de repouso: na qual existe cartilagem hialina sem nenhuma presença de alteração morfológica;
Zona de cartilagem seriada ou de proliferação: os condrócitos dividem-se rapidamente e formam fileiras ou colunas paralelas de células achatadas e empilhadas no eixo longitudinal do osso;
Zona de cartilagem hipertrófica: os condrócitos estão bem volumosos, possuem depósitos citoplasmáticos de glicogênio e lipídios. Os condrócitos morrem por apoptose;
Zona de cartilagem calcificada: ocorre a mineralização da matriz cartilaginosa e termina a apoptose dos condrócitos;
Zona de ossificação: aparece tecido ósseo. Capilares sanguíneos e células osteoprogenitoras originadas do periósteo invadem as cavidades deixadas pelos condrócitos mortos. As células osteoprogenitoras se diferenciam em osteoblastos, que por sua vez, depositam matriz óssea sobre os restos de matriz cartilaginosa.
A matriz óssea calcifica- se e aprisiona osteoblastos, que se transformam em osteócitos.
Lamina de osso descalcificado: ossificação endocondral. Aumento de 10x. Em 1 observamos a zona de repouso; Em 2 a zona seriada em que se nota os condrócitos organizados em série; Em 3 enxergamos a zona hipertrófica (células grandes e nucleadas), nela os condrócitos começam a morrer por apoptose; Em 4 reparamos a zona calcificada, esta por sua vez é uma “zona de transição”, onde termina a apoptose dos condrócitos e observa-se resto de cartilagem e o inicio de ossificação.
Lamina de osso descalcificado: ossificação endocondral. Aumento de 20x. Na foto, delimitado pelo traço temos do lado 1, a zona seriada, 2 hipertrófica e do lado de fora 3 a zona de calcificação.
Lamina de osso descalcificado: ossificação endocondral. Aumento de 40x. Em 1 observamos a zona seriada em que os condrócitos estão organizados em série; em 2 a zona hipertrófica (células grandes e nucleadas).
Lamina de osso descalcificado: ossificação endocondral. Aumento de 40x.
O tecido corado de rosa claro em 1, observa-se uma trabécula óssea. Já o amontoado de células circuladas ao redor da trabécula estão os osteoblastos. Em 2 já pode ser visto a medula óssea vermelha. Circulado na trabécula óssea, notamos os osteócitos que se localizam mais no interior das trabéculas.
Lamina de osso descalcificado: ossificação endocondral. Aumento de 40x.
Em 1 observa-se uma trabécula óssea. Circulado na periferia da trabécula podemos ver osteoblastos. Circulados no interior das trabéculas observa-se os osteócitos. A seta laranja aponta um megacariócito.
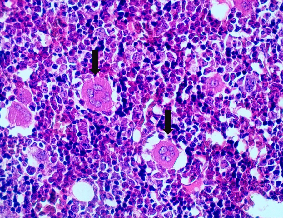
Lamina de osso descalcificado: ossificação endocondral. Aumento de 40x. As estruturas apontadas pelas setas são os megacariócitos encontrados na medula óssea vermelha.
Referências:
JUNQUEIRA, Luiz Carlos Uchoa. Histologia básica I L.C.Junqueira e José Carneiro.12 .ed. Rio de Janeiro: Guanabara Koogan, 2013.
KIERZENBAUM, Abraham L. Histologia e Biologia Celular: uma introdução à patologia. Revisão científica. Rio de Janeiro: Elsevier, 2008.





