A ossificação endocondral inicia-se sobre uma peça de cartilagem hialina do esqueleto que irá formar tecido ósseo. Esse tipo de ossificação é o responsável básico pela constituição dos ossos curtos e longos. Forma-se um centro primário no decorrer da ossificação endocondral. Esse centro de ossificação deriva de condrócitos que proliferaram e depositaram uma matriz extracelular contendo colágeno do tipo II.
Placas de crescimento ou Placa epifisária são estruturas compostas por cartilagem, osso e componentes fibrosos. Normalmente se apresentam nas extremidades dos ossos longos (ossificação endocondral).
Quando o tecido ósseo formado ocupa as epífises, o tecido cartilaginoso torna-se reduzido a dois locais: a cartilagem articular, que persistirá por toda a vida e não contribui para a formação de tecido ósseo, e a cartilagem de conjugação ou disco epifisário.
O disco epifisário é constituído por um disco cartilaginoso que não foi penetrado pelo osso em expansão e que será responsável, de agora em diante, pelo crescimento longitudinal do osso. Assim o disco fica entre o tecido ósseo das epífises e o da diáfise. Seu desaparecimento por ossificação determina a parada do crescimento longitudinal dos ossos, que ocorre com aproximadamente 20 anos de idade.
No disco epifisário, começando ao lado da epífise, distinguem-se as cinco zonas, são elas:
Zona de repouso: na qual existe cartilagem hialina sem nenhuma presença de alteração morfológica;
Zona de cartilagem seriada ou de proliferação: os condrócitos dividem-se rapidamente e formam fileiras ou colunas paralelas de células achatadas e empilhadas no eixo longitudinal do osso;
Zona de cartilagem hipertrófica: os condrócitos estão bem volumosos, possuem depósitos citoplasmáticos de glicogênio e lipídios. Os condrócitos morrem por apoptose;
Zona de cartilagem calcificada: ocorre a mineralização da matriz cartilaginosa e termina a apoptose dos condrócitos;
Zona de ossificação: aparece tecido ósseo. Capilares sanguíneos e células osteoprogenitoras originadas do periósteo invadem as cavidades deixadas pelos condrócitos mortos. As células osteoprogenitoras se diferenciam em osteoblastos, que por sua vez, depositam matriz óssea sobre os restos de matriz cartilaginosa.
A matriz óssea calcifica- se e aprisiona osteoblastos, que se transformam em osteócitos.
Lamina de osso descalcificado: ossificação endocondral. Aumento de 2,5x. Coloração picrosirius. Em 1 observamos a zona de repouso; Em 2 nota-se os condrócitos organizados em série; Em 3 enxergamos a zona hipertrófica; Em 4 reparamos a zona calcificada, esta por sua vez é uma “zona de transição”, onde observa-se condrócitos sem núcleo e o inicio de ossificação; E em 5, já distinguimos a zona de ossificação.
Lamina de osso descalcificado: ossificação endocondral. Aumento de 10x. Coloração picrosirius.
Em 1 observamos a zona de repouso; Em 2 nota-se os condrócitos organizados em série; Em 3 enxergamos a zona hipertrófica (células grandes e nucleadas); Em 4 reparamos a zona calcificada, esta por sua vez é uma “zona de transição”, onde observa-se condrócitos sem núcleo e o inicio de ossificação; E em 5, já distinguimos a zona de ossificação.
Lamina de osso descalcificado: ossificação endocondral. Aumento de 10x. Coloração picrosirius.
Ao lado direito da lamina observamos parte de zona de ossificação e em praticamente toda lamina observamos osso formado. Em 1 podemos notar trabéculas ósseas e em 2 medula óssea vermelha.
Lamina de osso descalcificado: ossificação endocondral. Aumento de 20x. Coloração picrosirius.
Em toda extensão da reta 1, observamos a Zona de repouso. As células circuladas em 2 são os condrócitos, podemos notar que não possuem qualquer alteração morfológica. Em extensão da reta 3 já nota-se a Zona seriada, onde os condrócitos estão formando fileiras paralelas de células achatadas e no eixo longitudinal do osso.
Lamina de osso descalcificado: ossificação endocondral. Aumento de 20x. Coloração picrosirius.
Em toda extensão das retas 1 observamos a Zona Hipertrófica. Circulado em 2, podemos observar os condrócitos com seu tamanho aumentado. Em todo contorno 3, notamos a zona de calcificação. Em 4 temos a zona de ossificação, onde já nota-se a presença de trabéculas.
Lamina de osso descalcificado: ossificação endocondral. Aumento de 20x. Coloração picrosirius.
Todo tecido corado e circulado em 1, observa-se uma trabécula óssea. Circulado em 2 já pode ser visto os osteoblastos, células que circundam as trabéculas. Em 3, notamos os osteócitos que se localizam mais no interior das trabéculas. Em torno das trabéculas, em 4, encontramos medula óssea vermelha.
Lamina de osso descalcificado: ossificação endocondral. Aumento de 20x. Coloração picrosirius.
Todo tecido corado é uma trabécula óssea. Circulado em 1 podemos ver osteoblastos, células que circundam as trabéculas. Circulados em 2, notamos os osteócitos que se localizam mais no interior das trabéculas. Em torno das trabéculas, em 3, encontramos medula óssea vermelha.
Lamina de osso descalcificado: ossificação endocondral. Aumento de 20x. Coloração picrosirius.
Todo tecido corado apontado pelas setas são trabéculas ósseas. Em 1 encontramos medula óssea vermelha.
Lamina de osso descalcificado: ossificação endocondral. Aumento de 40x. Coloração picrosirius.
Na foto observamos a zona de repouso, em maior aumento percebe-se que não há qualquer tipo de alteração morfológica nos condrócitos, células apontadas pelas setas.
Lamina de osso descalcificado: ossificação endocondral. Aumento de 40x. Coloração picrosirius.
Na foto observamos a zona seriada, em maior aumento percebe-se que os condrócitos dividiram-se e formaram fileiras paralelas de células achatadas.
Lamina de osso descalcificado: ossificação endocondral. Aumento de 40x. Coloração picrosirius.
Na foto observamos a zona hipertrófica, em maior aumento percebe-se que os condrócitos aumentaram de tamanho, e alguns já nota-se a morte por apoptose.
Lamina de osso descalcificado: ossificação endocondral. Aumento de 40x. Coloração picrosirius.
Na foto, delimitado pelo traça temos do lado 1, a zona de calcificação, e do lado 2 a zona de ossificação.
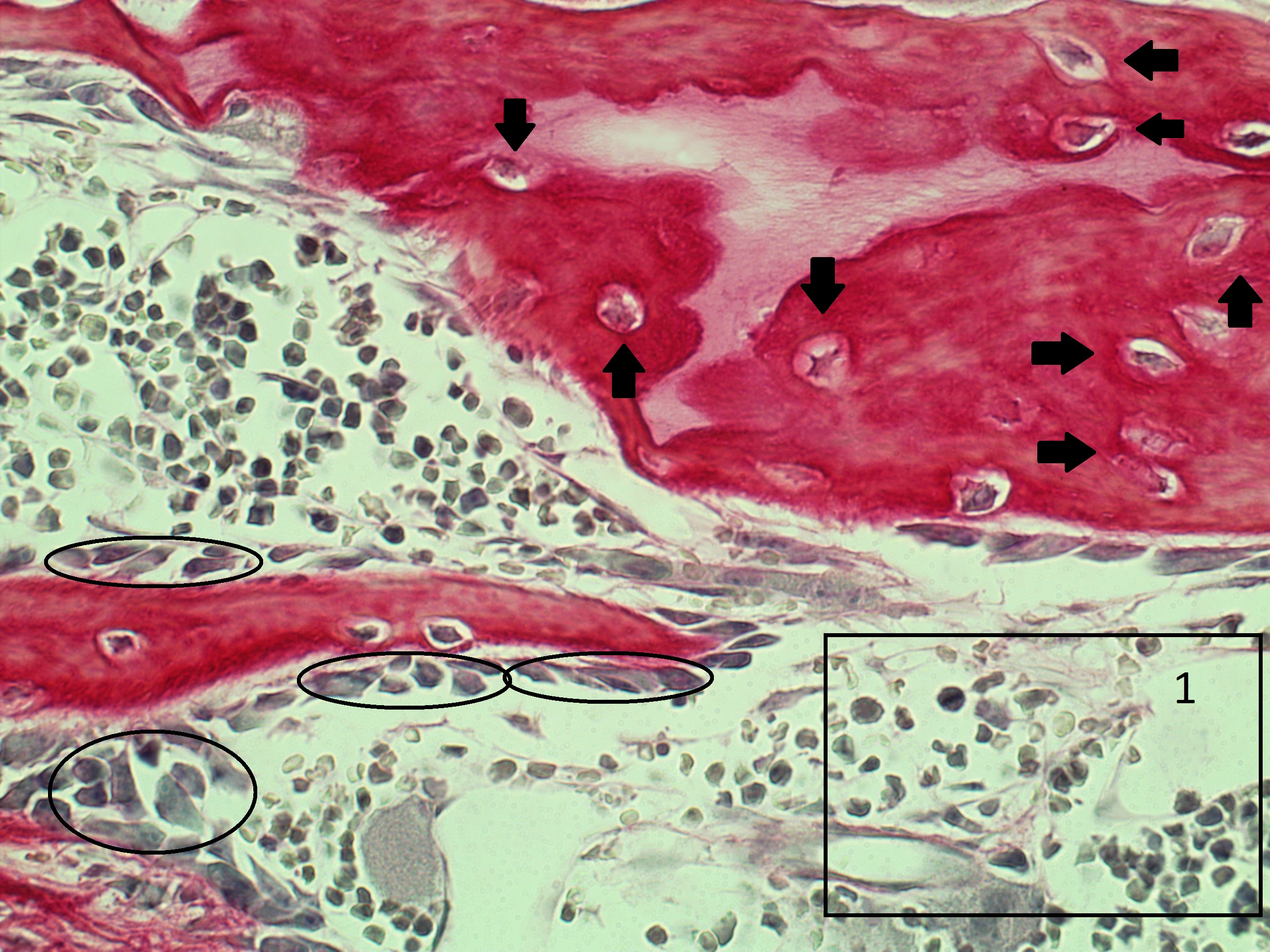
Lamina de osso descalcificado: ossificação endocondral. Aumento de 40x. Coloração picrosirius.
Em maior aumento já pode ser visto com mais nitidez, apontada pelas setas, osteócitos. Circulados ao redor das trabéculas ósseas observamos os osteoblastos, e em 1, temos medula óssea vermelha.
Referências:
JUNQUEIRA, Luiz Carlos Uchoa. Histologia básica I L.C.Junqueira e José Carneiro.12 .ed. Rio de Janeiro: Guanabara Koogan, 2013.
KIERZENBAUM, Abraham L. Histologia e Biologia Celular: uma introdução à patologia. Revisão científica. Rio de Janeiro: Elsevier, 2008.













